이가 누래요, 치아미백만으로 해결될까요?

거울을 보다 치아가 누렇게 보여 신경 쓰인 적 있으신가요?

처음엔 양치를 더 열심히 하거나 미백치약을 써볼까 고민하고, 더 나아가 셀프로 치아미백 제품을 사용하는 분들도 계시는데요.

하지만 치아가 누렇게 보인다고 해서 무조건 미백이 해결책이 되지는 않습니다.

오히려 치아 상태에 따라 미백이 오히려 치아를 손상시킬 수 있기 때문에, 지금 내 치아가 어떤 상태인지 먼저 파악하는 것이 중요합니다.






누런 치아, 원인은 무엇일까요?

치아가 누렇게 보이는 이유는 크게 외부 착색과 치아 구조 손상으로 나눌 수 있습니다.


1. 외부 착색



• 커피, 차, 와인, 카레, 초콜릿 등 색소가 진한 음식

• 흡연, 전자담배

• 불완전한 구강관리

이런 경우는 치아 표면에 색소가 쌓인 상태로, 치아 내부 구조에는 문제가 없는 경우가 많습니다.

이럴 땐 스케일링이나 치과 미백을 통해 개선이 가능합니다.



2. 내부 손상

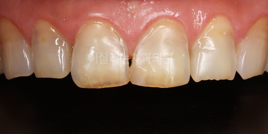
* 치아마모, 에나멜마모로 누렇게 보이는 치아 


• 산성 음료 섭취

• 잦은 구토 (다이어트, 역류질환 등)

• 과도한 칫솔질

• 충치나 외상

• 노화에 따른 에나멜 마모

이러한 경우는 치아의 가장 바깥층인 '에나멜(법랑질)'이 얇아지면서 그 아래 노란색 '덴틴(상아질)'이 비쳐 보이는 상태입니다.

이 경우 단순한 미백은 효과가 없을 뿐 아니라, 오히려 통증을 유발하거나 치아를 더 약하게 만들 수 있습니다.






치아미백, 모든 누런 치아에 효과가 있을까요?

표면 착색이라면 미백이 효과적일 수 있습니다.

치아 겉면에 붙은 색소는 스케일링이나 미백제로 제거가 가능하며, 비교적 빠르게 하얗고 맑은 치아로 돌아올 수 있습니다.



* 치아마모로 누렇게 보이는 치아 


하지만 치아 구조가 마모되거나 부식된 경우는 이야기가 달라집니다.

이미 약해진 치아에 고농도의 미백제를 사용하면, 덴틴층을 자극해 극심한 시림이나 통증, 나아가 신경 손상까지 초래할 수 있습니다.







셀프 치아미백, 왜 주의가 필요할까요?


셀프미백 제품은 누구나 쉽게 구입할 수 있지만, 치아 상태를 고려하지 않고 사용하는 것은 매우 위험합니다.

덴틴이 노출된 치아는 미세한 관(상아세관)을 통해 자극이 치수(신경)까지 바로 전달되기 때문에,

미백제가 스며들면 극심한 통증이나 염증이 생길 수 있습니다.

또한 셀프미백은 잇몸 보호 없이 진행되기 때문에, 미백제가 잇몸에 닿아 시림이나 통증을 유발하는 경우도 많습니다.

따라서 안전하고 효과적인 치아미백을 위해서는 전문의의 정확한 진단과 함께 치아 상태에 맞는 맞춤 치료 계획이 필요합니다.







치과에서는 미백을 어떻게 진행할까요?

이살리는치과에서는 다음과 같은 절차를 거쳐 미백을 진행합니다.




1. 정확한 진단

- 현재 치아 색상과 구조 확인

- 충치, 잇몸질환 여부 파악





* 에어플로우 스케일링 예시 출처 : EMS 유튜브 



2. 에어플로우 스케일링

- 치아 표면의 착색, 플라그, 노폐물 제거

- 미백제가 골고루 작용할 수 있는 환경 마련







3. 잇몸 보호제 도포

- 미백제의 자극으로부터 잇몸 보호







4. 미백제 도포 및 광조사

- 고농도 미백제를 사용해 치아 내부 색소를 화학적으로 분해

- 자연스럽고 균일한 밝기로 개선

※ 착색 정도에 따라 1회에서 3회 정도 추가 미백이 필요할 수 있습니다.







치아가 마모되거나 부식되었다면 어떻게 해야 하나요?



미백이 불가능한 손상된 치아는 에나멜 복구 치료가 우선입니다.

에나멜은 한 번 손상되면 자연적으로 회복되지 않기 때문에, 기능과 구조를 복원할 수 있는 정밀한 복구가 필요합니다.








이살리는치과에서는 자연치아와 가장 유사한 물성을 지닌 '미니쉬블록'을 사용해 치아를 복구합니다.








초정밀 가공 장비를 통해 0.1mm 단위로 세밀하게 제작되며, 개인의 치아 형태에 맞춰 정밀하게 설계됩니다.

가공된 복구물은 치아에 빈틈 없이 밀착되어 세균 침투를 최소화하고, 이차 충치의 위험도 줄일 수 있습니다.

에나멜이 복원되면 손상된 치아는 다시 튼튼하고 건강한 상태로 회복될 수 있으며,

주변 치아와의 색상 조화도 뛰어나 겉보기에도 매우 자연스럽습니다.







* 미니쉬 전후 변화, 치료 결과는 개인에 따라 다를 수 있으며, 치료 후 초반에는 약간의 이물감이 느껴지고 적응하는데 시간이 필요할 수 있습니다. 

 

이처럼 미니쉬는 마모되거나, 부식되거나, 깨진 치아를 건강하게 복구하는 데 효과적인 솔루션이 될 수 있습니다.





미니쉬는 아무 치과에서나 받을 수 있나요?




아니요. 미니쉬는 미니쉬테크놀로지의 공식 교육과정을 수료한 협력 치과에서만 가능하며,

이살리는치과는 공식 인증된 미니쉬 프로바이더 치과입니다.








• 미니쉬치과병원 출신 의료진

• 미니쉬 아카데미 이수

• 미니쉬 정품 보증서 제공




치아가 누렇다고 해서 무조건 미백을 시도하는 것은 오히려 위험할 수 있습니다.

겉면 착색이라면 미백으로 개선이 가능하지만, 치아 내부가 손상된 경우에는 먼저 복구 치료가 우선되어야 합니다.

손상된 치아를 건강하게 회복하고, 자연스러운 미소까지 원하신다면 ‘미니쉬’는 좋은 선택이 될 수 있습니다.

지금 내 치아가 미백이 가능한 상태인지, 아니면 복구가 필요한 상태인지 정확히 알고 싶다면

이살리는치과에 예약 후 진단을 받아보세요.

가장 안전하고 효과적인 방법으로 안내해드리겠습니다.